Are Bunions Limiting Your Activities and Lifestyle?
Bunions can be very painful. With each step, your entire body weight rests on that bunion. Ouch! Conservative treatment options can help alleviate pain, but will not fix the problem because bunions are a progressive disorder that will not go away on their own without surgical correction.
Bunion Surgery Has Changed
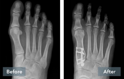
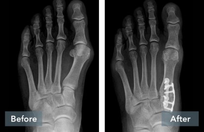
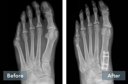
A common misconception is that a bunion is simply a “bump” that can be “shaved off.” But, bunions are more than a bump – they are complex 3D problems caused by an unstable joint in the middle of the foot. While the majority of bunion surgery is only 2D and fails to address the root cause, the Lapiplasty® Procedure provides a 3D correction and secures the unstable joint.
How Does Lapiplasty® 3D Bunion Correction® Work?
While traditional 2D osteotomy surgery cuts & shifts the bone to address the cosmetic bump, Lapiplasty® 3D Bunion Correction® does more – it corrects the entire bone in 3D and secures the unstable foundation to get you back on your feet typically within 3-1 0 days in a walking boot. The Lapiplasty® Procedure has also shown low recurrence; 97% and 99% maintain 3D correction in 13 and 17 months respectively.
Request an Appointment